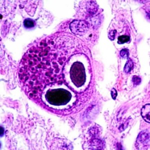
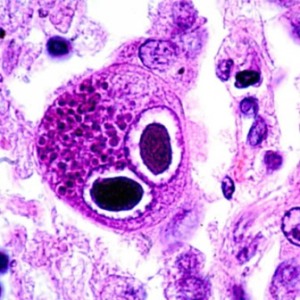
Цитомегаловирус — найти и уничтожить
О том, почему Цитомегаловирус иммунологи окрестили «серым кардиналом», о неспецифичности симптомов и непредсказуемости последствий, о том, как найти и вылечить коварный вирус, читайте в новой статье нашего «Вестника СматрМед» https://imc.com.ua/online/citomegalovirus/



